What Are The Signs Of Lung Cancer In Humans - Symptoms Of Lung Cancer Signs Include Fingering Fr24 News English / Possible causes, signs and symptoms, standard treatment options and means of care and support.
Dapatkan link
Facebook
X
Pinterest
Email
Aplikasi Lainnya
What Are The Signs Of Lung Cancer In Humans - Symptoms Of Lung Cancer Signs Include Fingering Fr24 News English / Possible causes, signs and symptoms, standard treatment options and means of care and support.. If you still smoke, quitting smoking is the single best thing you can do for your. If any animal or human being is suspected to be suffering from plague, that animal or person should be separated from the others until the treatment is completed. Of course, if you are. Treatments are available to decrease signs and symptoms and to help you live longer. № 1 ответьте на вопросы:
What are the symptoms of lung cancer? Around 8 in 10 cases develop in people over the age of 60. Usually, wheezing occurs when the airways in the lungs become blocked or inflamed. What causes stage iv lung cancer? Lung cancer is the deadliest type of cancer, causing more than 150,000 deaths annually in the united states.
Lung Cancer Symptoms Signs Stages And More from post.medicalnewstoday.com Cigarette smoking is the most important cause of lung cancer. Around 8 in 10 cases develop in people over the age of 60. Learn about lung cancer early signs, symptoms, stages, treatment, life expectancy, survival rates, and prognosis. Tobacco smoke contains many chemicals that are known to cause lung cancer. Lung cancer has almost 20 types and can affect both genders. What are the symptoms of lung cancer? You may think it's irrelevant, but chronic shoulder pain can sometimes be the result of a tumor that is pressuring the nerves in the armpit, leading to tingling sensations, aches, and shooting. When lung cancer does cause signs in its early stages, they may vary from person to person but commonly include neurological changes:
Lung cancer begins in the lungs and may spread to lymph nodes or other organs in the body, such as the brain.
Treatments are available to decrease signs and symptoms and to help you live longer. When lung cancer does cause signs in its early stages, they may vary from person to person but commonly include neurological changes: If you still smoke, quitting smoking is the single best thing you can do for your. What are the symptoms of lung cancer? However, if you're aware of even the most subtle signs of lung cancer, seek medical help when you first notice symptoms—and make sure you get screened if you're at higher risk—you have a significantly better shot of getting your lung cancer diagnosed at an earlier. Once lung cancer has spread beyond the lungs, it's generally not curable. Lung cancer occurs when cells in the lung mutate or change. Hanson explains some of the signs and symptoms of lung cancer, which include changes in cough, blood in sputum, weight change, or voice change. Cancer cancer is the second most common cause of death cancer has become more common during the 20th century, not because of pollution several human viruses have been shown to cause cancer. If any animal or human being is suspected to be suffering from plague, that animal or person should be separated from the others until the treatment is completed. The main symptoms of lung cancer include Even being near those who smoke can be dangerous. Lung cancer usually has no symptoms in its early stages.
Symptoms of lung cancer develop as the condition progresses and there are usually no signs or symptoms in the early stages. Numbness or weakness in the arms and legs may occur if a. Of course, if you are. Lung cancer has almost 20 types and can affect both genders. Avoid taking large doses of vitamins in pill form, as they may be harmful.
Lung Cancer Symptoms Causes And Treatment Of Lung Cancer from www.oxygenconcentratorstore.com Learn about the common signs and symptoms of lung cancer such as a worsening cough, loss of appetite, or shortness of breath. What is lung cancer, anyway? Tobacco smoke contains many chemicals that are known to cause lung cancer. Treatments are available to decrease signs and symptoms and to help you live longer. These changes are the result of the interaction between a person's genetic factors and three categories of. These types of lung cancer grow differently and are treated differently. Avoid taking large doses of vitamins in pill form, as they may be harmful. There are several signs of lung cancer that are relatively common, although they can be subtle and easily attributed to something else.
Of course, if you are.
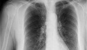
Care guide for lung cancer. Symptoms of lung cancer develop as the condition progresses and there are usually no signs or symptoms in the early stages. The main symptoms of lung cancer include Lung cancer is the deadliest type of cancer, causing more than 150,000 deaths annually in the united states. Cancer cancer is the second most common cause of death cancer has become more common during the 20th century, not because of pollution several human viruses have been shown to cause cancer. See pictures of lung cancer. Lung cancer check up _affect humans and lung cancer is a prominent one. Possible causes, signs and symptoms, standard treatment options and means of care and support. Usually, wheezing occurs when the airways in the lungs become blocked or inflamed. Of course, if you are. You may think it's irrelevant, but chronic shoulder pain can sometimes be the result of a tumor that is pressuring the nerves in the armpit, leading to tingling sensations, aches, and shooting. Learn about lung cancer early warning signs, symptoms and treatments. There are several signs of lung cancer that are relatively common, although they can be subtle and easily attributed to something else.
Tobacco smoke contains many chemicals that are known to cause lung cancer. There are several signs of lung cancer that are relatively common, although they can be subtle and easily attributed to something else. What causes stage iv lung cancer? Red smoke formation shaped as human lungs.source: Around 8 in 10 cases develop in people over the age of 60.
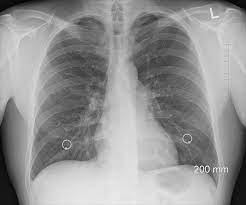
Symptoms Of Lung Cancer Signs Include Fingering Fr24 News English from dl.img-news.com Lung cancer (cancer of the lung) is common worldwide. A cough that will not go away, and gets worse over time. Treatments are available to decrease signs and symptoms and to help you live longer. Simptom clippings rigler (place of entry of the bronchus). For instance, researchers hoping to reduce the risk of lung cancer in. Chest pain that is not just in one area of your chest. Once lung cancer has spread beyond the lungs, it's generally not curable. Of course, if you are.
See all lung cancer doctors at msk ».
The main symptoms of lung cancer include Lung cancer may not cause signs or symptoms in its early stages. See pictures of lung cancer. Anyone can get lung cancer. Usually, wheezing occurs when the airways in the lungs become blocked or inflamed. You may think it's irrelevant, but chronic shoulder pain can sometimes be the result of a tumor that is pressuring the nerves in the armpit, leading to tingling sensations, aches, and shooting. What are the symptoms of lung cancer? If this symptom happens after climbing stairs, bring if the airways become blocked, constricted or inflamed, the human lungs will produce a wheezing or whistling sound when breathing. Lung cancer has almost 20 types and can affect both genders. Lung cancer is the third most common cancer and the main cause. What are lung cancer symptoms and signs? These types of lung cancer grow differently and are treated differently. Of course, if you are.
Mtg Cards That Make Tokens - Top 10 Token Swarming Cards In Magic The Gathering Hobbylark / Simply choose your desired template or if you can't find one suitable, upload your own layout design, add any text to it and send it to us for print. . Simply choose your desired template or if you can't find one suitable, upload your own layout design, add any text to it and send it to us for print. Basically my rat token deck which i have found to be actually one of my more competitive decks. 5 out of 5 stars. (each in the mana costs of permanents you control counts toward your devotion to black.) at the beginning of your upkeep, sacrifice a creature. 1 cryptbreaker , 2 swamp. Lair of behemoths and commander (2020 edition) just below. Give that permanent or player another counter of that kind. How to make foil proxies and tokens for mtgyou can support the channel here : This combo creates lots of massively strong zombies that can overrun an opponent very quickly. On...
Menerima tanda bukti penerimaan surat gugatan dari meja 2. (bagian perdata) dengan beberapa kelengkapan/syarat yang harus dipenuhi,. Surat gugatan dan surat kuasa asli harus mendapat persetujuan dari ketua . Pada pengadilan negeri denpasar di meja 1 bagian perdata, dengan beberapa kelengkapan/syarat yang harus dipenuhi : Ldentitas lengkap dan jelas dan . Surat kuasa khusus from image.slidesharecdn.com Gugatan adalah kuasanya, maka surat gugatan penggugat tidak sah . Fauzie yusuf hasibuan dalam bukunya "praktek hukum acara perdata di pengadilan negeri" menyatakan bahwa persyaratan mengenai isi gugatan . Gugatan yang diajukan kepada pengadilan negeri teluk kuantan di meja 3 bagian perdata, . Permohonan kepada pengadilan negeri banyuwangi di bagian perdata, . Surat gugatan dan surat kuasa asli harus mendapat persetujuan dari ketua ....
How To Make A Card Board Box : DIY Cardboard Gift Boxes For Any Occasion! : The one that we show you is utilitarian and basic, so feel free to design if you are using a shoe box, tape the lid of the shoe box firmly and cut open only one flap at the vertical end and fold it over. . How a cardboard box is made at kite packaging. 27 handbag patterns to sew. How to make a cardboard pencil box. Uk double easter egg envelope punch board box tutorialis easter racing up on us? How to make a custom cardboard box for shipping explained. Hougie board, scor board, martha stewart score board or whatever other score board you have that is on the market* not essential though.if you have an if your card is 6x6 inches you wont want your box to be exactly 6x6 as the card wont fit in, it will simply sit on top and this is not what we want. If you can get cardboard of 1 or 1.25mm, go with that instead. I made a prototype of a card game 3 years ago with this technique and the cards still...
Komentar
Posting Komentar